Wpisz poniżej swoje dane do logowania




 Mpx
Ekologiczny Druk w Technologii HP Latex

Technologia HP Latex to tusze oparte w 100% na ekologicznych składnikach. Jest to jedyny na świecie tusz, który może być stosowany nie tylko na zewnątrz, ale także w pomieszczeniach. Technologia zastosowana do stworzenia tego tuszu daje nie tylko spore możliwości zastosowań, ale także odznacza się trwałością, którą można porównać z trwałością wydruków ekosolwentowych.
Dla wielu użytkowników będzie z pewnością istotny także aspekt ekologiczności. Z uwagi na fakt, że tusze latexowe oparte są na bazie wody nie istnieje niebezpieczeństwo pojawiania się nieprzyjemnych zapachów, które mogą być szkodliwe podczas pracy maszyn. Zamknięty obieg termicznego utrwalania i suszenia sprawia, że wykorzystanie gotowych wydruków może być natychmiastowe.
Druk zgodny z rygorystycznymi europejskimi normami dla reklamy in- i outdoorowej. Ekologiczność tuszy została potwierdzona certyfikatami UL ECOLOGO i UL GREENGUARD GOLD, a wydruki spełniają normy AgBB.
Dzięki technologii druku HP Latex możliwe stało się stworzenie proekologicznych produktów końcowych coraz częściej wymaganych przez klientów. Technologia gwarantuje wydruki najwyższej jakości, które bez względu na czas są bezwonne i nietoksyczne.
Druk HP Latex jest bezpieczny dla użytkowników aplikacji oraz operatorów urządzeń. Nie ma negatywnego wpływu na środowisko. Podczas drukowania nie uwalniają się żadne toksyczne substancje, które mogłyby stanowić zagrożenie dla życia lub zdrowia.
Urządzenia HP Latex posiadają certyfikat ENERGY STAR, co oznacza, że spełniają surowe wytyczne w zakresie energooszczędności

#3457097 - max 292 x 194 cm Podobne

woman's heart..

woman's heart
#412724599 - max 438 x 292 cm Podobne

インプラント治療..

インプラント治療
#625455120 - max 254 x 254 cm Podobne

Dried squid..

Dried squid
#297270247 - max 438 x 292 cm Podobne

Strawberry ice cream..

Strawberry ice cream
#566225673 - max 1209 x 343 cm Podobne

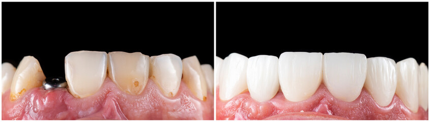
emax ceramic crowns and veneers..

emax ceramic crowns and veneers
#319242402 - max 329 x 219 cm Podobne

deux cervelles de porc cru..

deux cervelles de porc cru
#100102446 - max 169 x 254 cm Podobne

Female lips and cream..

Female lips and cream
#336414521 - max 463 x 308 cm Podobne

soapy hands ..

soapy hands